«Учитывая большое разнообразие медитаций, которые практикуются сегодня, важно различать их, чтобы увидеть различные способы их воздействия на мозг», – сказала Мишель С. Махоун, доктор медицинских наук, Сан-Диего, Калифорния «Совершенно очевидно, что разные подходы к медитации будут использовать мозг по-разному».
Техника Трансцендентальной Медитации приводит к состоянию «бодрствующего покоя», уникального состояния Сознания. Тело получает чрезвычайно глубокий отдых, в то время как ум уменьшает свою активность и достигает состояния глубокого покоя, сохраняя при этом внутреннюю пробужденность. Этот процесс устраняет глубоко укоренившиеся стрессы и напряжение, способствует омоложению организма.

Состояние бодрствующего покоя основа для включения механизма творческой интуиции (это неосознаваемое рекомбинирование ранее накопленного опыта, которое побуждает и направляет на поиск средств для удовлетворения доминирующей потребности, проще говоря, вы интуитивно знаете, какие действия будут наиболее удачными в конкретной значимой ситуации)
Новое исследование головного мозга и механизмов познания Мишель С. Махоун совместно с группой американских ученых (Michelle C. Mahone, Fred Travis, Richard Gevirtz, David Hubbard) поддерживает утверждение о том, что во время практики ТМ ум внимателен, но при этом и ум и само тело находятся в состоянии глубокого покоя.
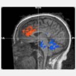
Паттерны функционального МРТ(ФМРТ) во время практики Трансцендентальной Медитации показали, что, как и в медитациях, требующих концентрации наблюдается повышенная активность в областях префронтальной коры, связанных с вниманием, что указывает на бдительность. Однако, в отличие от других медитаций, во время Трансцендентальной Медитации также снизилась активность в областях, связанных с возбуждением, что указывает на глубокий отдых.
Состояние спокойной бдительности
Ранние исследования показали, что практика Трансцендентальной Медитации снижает активность симпатической нервной системы, на что указывает снижение проводимости кожи и снижение лактата в плазме – двух физиологических маркеров симпатического функционирования – и замедление частоты дыхания.
«Снижение симпатической активации является результатом достижения состояния бодрствования в состоянии покоя во время практики Трансцендентальной Медитации», – сказал Фред Трэвис (Dr Fred Travis, Director of the Centre of Brain), соавтор исследования.
«Эта спокойная бдительность – другой вид отдыха, чем сон. Он омолаживает и исцеляет, о чем свидетельствуют многочисленные клинические исследования, и в то же время позволяет человеку испытать более глубокие психические состояния. – с глубокими последствиями, такими как постоянный опыт трансцендентности».
Д-р Трэвис говорит, что состояние спокойного бодрствования, достигаемое во время ТМ, – это больше, чем просто концепция. «Паттерны кровотока дают физиологическую картину реальности спокойного бодрствования в уме и теле».

Увеличение притока крови к префронтальной корке
Люди, которые практиковали Трансцендентальную Медитацию в среднем 34 года, были протестированы во время медитации в течение 10 минут, кровоток в их мозгу контролировался с помощью функционального МРТ.
По сравнению с простым отдыхом с закрытыми глазами, сканирование с помощью функционального МРТ обнаружило увеличение кровотока в двусторонней передней поясной извилине и двусторонней дорсолатеральной префронтальной коре – областях префронтальной коры головного мозга, связанных с вниманием и исполнительными функциями, такими как принятие решений, рассуждение, рабочая память, торможение и ожидание вознаграждения.
Однако, в отличие от других медитаций, во время Трансцендентальной Медитации наблюдалось уменьшение притока крови к мосту и мозжечку. Мост модулирует общее состояние возбуждения человека и регулирует дыхание и частоту сердечных сокращений. Снижение активности в этой области мозга поддерживает ощущения во время Трансцендентальной Медитации глубоко безмолвного ума и отдохнувшего тела.
Мозжечок регулирует скорость и вариативность обработки информации, связанной как с координацией и контролем моторики, так и с когнитивными функциями, такими как внимание и речь. Снижение активности предполагает, что тело возвращается в более автоматический режим без необходимости когнитивных усилий для осуществления контроля.
По словам доктора Трэвиса, вместе снижение активности мостов и мозжечка предполагает общее снижение когнитивного контроля и исполнительной обработки во время Трансцендентальной Медитации – как будто система внимания находится в точке баланса, готовой действовать в любой момент, когда это необходимо.

«Хотя это может показаться противоречивым, это открытие совместимо с другими исследованиями, подтверждающими, что медитация может быть ключом к уравновешиванию вегетативной нервной системы и улучшению качества жизни», – сказала доктор Махоуни
Выкладки из работы ученых опубликованы в американский научный журнале «Мозг и познание» в 2018 году. (“fMRI during Transcendental Meditation practice” Michelle C. Mahone, Fred Travis, Richard Gevirtz, David Hubbard,Brain and Cognition 123 (2018) 30-33)
















